임플란트
MISOYA DENTAL CLINIC
고난도 시술에 속하는 임플란트!
고난도 시술에 속하는 임플란트!
어떤 치과를 선택해야 할까?
CHECK CHOICE
-
POINT 01
교정과 임플란트 복합치료 가능
-
POINT 02
타치과 실패한 임플란트 성공적인 재수술
-
POINT 03
전신질환 (혈압 , 당뇨 등)환자 가능
-
POINT 04
맞춤형 지대주
대학병원에서 2~3개월 기다리다 지치셨나요?
디지털 장비를 통한, 정밀진단 후 대학병원급 수준의 임플란트 당일 수술이 가능합니다.
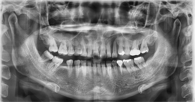
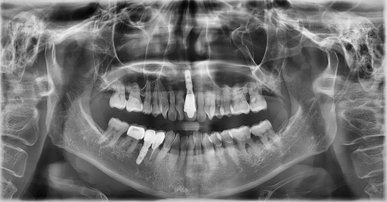
CASE 01
전치부(앞니) 자가골 이식 케이스

before

after

before

after
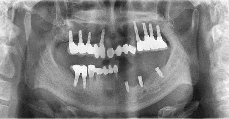
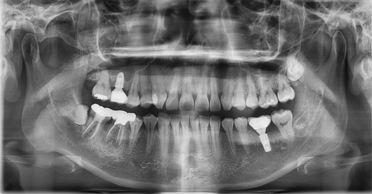
CASE 02
타 치과에서 실패한 임플란트 재수술

before

after
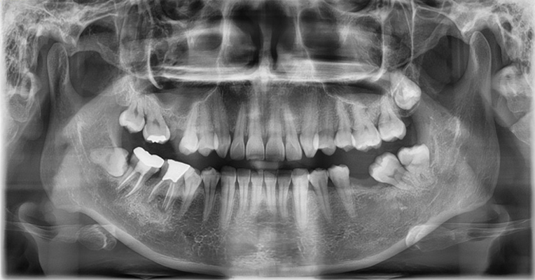
CASE 03
교정, 임플란트 동반 수술 케이스

before

after
LOCATION
미소야치과의원
서울특별시 은평구 연서로 217(갈현동 456-2), 2층
36호선 연신내역 5번 출구에서 122m
주차장 자세히보기
진료시간
- 월ㆍ화ㆍ금오전 10:00 ~ 오후 07:00
- 수[야간]오전 10:00 ~ 오후 09:00
- 토요일오전 10:00 ~ 오후 03:00
- 점심시간오전 12:30 ~ 오후 02:00
※ 토요일은 점심시간 없이 진행합니다.
※ 목ㆍ일ㆍ공휴일은 휴진입니다.
서울대학교 대표원장 진료

