치아교정
환한 미소를 찾아드릴
미소야치과 장치별 치아교정
1. 소아/ 청소년 교정
성장기 아동에서 잘못된 턱성장으로 인한 심각한 부정교합이 발생된 경우 얼굴골격과 근육의 바람직한 성장이 일어날 수 있도록 해주는 교정 치료입니다.
성장 과정에서 턱의 발달을 적절하게 유도하여 불리한 골격 성장을 최대한 억제하고 건강한 구강습관을 갖는데 기여할 수 있습니다.
아이마다 적절한 교정 시기가 있으니 놓치지 마시고 정기적인 내원 및 상담 후 치료시기나 방법을 결정하는 것을 권유 드립니다.
성장 과정에서 턱의 발달을 적절하게 유도하여 불리한 골격 성장을 최대한 억제하고 건강한 구강습관을 갖는데 기여할 수 있습니다.
아이마다 적절한 교정 시기가 있으니 놓치지 마시고 정기적인 내원 및 상담 후 치료시기나 방법을 결정하는 것을 권유 드립니다.
- 초진
- 유치 영구치 혼합 치열기의 상악골 열성장으로 인한 반대교합 소아교정

- 치료 중
- 악궁 확장 장치를 사용한 비발치 교정

- 치료 후
- 교정 10년후에도 유지되고 있는 환자

2. 비발치 교정
비발치 교정치료는 자연치아를 최대한 보존하면서 치아를 교정하는 방법입니다.
미소야 치과에서는 교정치료시 환자분의 상태에 따라 다양한 방법을 적절히 활용하여 치료합니다.
치아를 뒤로 밀거나 악궁 확장 장치를 사용하고, 치간삭제 및 치아각도를 지속적으로 모니터링하여 발치 없이도 교정치료를 할 수 있게 노력하고 있습니다.
미소야 치과에서는 교정치료시 환자분의 상태에 따라 다양한 방법을 적절히 활용하여 치료합니다.
치아를 뒤로 밀거나 악궁 확장 장치를 사용하고, 치간삭제 및 치아각도를 지속적으로 모니터링하여 발치 없이도 교정치료를 할 수 있게 노력하고 있습니다.
- 초진
- 앞니가 반대로 물리고 비대칭도 심해서 타치과에서 수술교정 권유받고 내원

- 치료 후
- 비수술 교정치료만으로도 입술 비대칭이 개선

발치 case 1
- 초진
- 양쪽 어금니 심한 우식으로 타치과에서 임플란트 권유받음. 사랑니를 교정치료로 당겨 임플란트 수술 대체함

- 치료중
- 교정으로 이동한 사랑니

- 치료 후
- 교정으로 당겨온 사랑니 10년째 충치 없이 유지 중

발치 case 2
- 초진
- 왼쪽 위 송곳니가 주변에 치아종이 있어서 더 이상 맹출하지 못한 상태로 내원하심

- 치료 후
- 치아종 및 미맹출 송곳니 발치후 교정치료 및 임플란트 치료 시행함

3. 돌출입 교정
돌출입은 옆에서 볼 때 치아와 입이 앞으로 튀어나와 있는 경우이고 평소에 무의식적으로 있으면 입이 벌어질 때가 많고 퉁명스러운 인상인 경우가 대부분입니다.
돌출입 교정을 하면 튀어나온 입을 자연스럽게 넣어 교정 치료 후 외형적으로 턱선의 변화가 생깁니다.
미소야 치과에서는 돌출입 교정을 하는 중간에 엑스레이 및 얼굴 사진을 찍어서 담당 교정 원장님과 얼굴 변화를 계속 체크합니다.
돌출입 교정을 하면 튀어나온 입을 자연스럽게 넣어 교정 치료 후 외형적으로 턱선의 변화가 생깁니다.
미소야 치과에서는 돌출입 교정을 하는 중간에 엑스레이 및 얼굴 사진을 찍어서 담당 교정 원장님과 얼굴 변화를 계속 체크합니다.

4. 수술교정
부정교합으로 인해 교정 상담을 받을 때 턱뼈는 정상인데 치아에만 문제가 있는 경우 치아 교정치료로 해결할 수 있지만, 양악수술을 동반한 수술 교정이 필요한 경우도 있습니다.
미소야 치과는 충분한 진단과 상담 후 꼭 필요한 환자분께만 수술교정을 권유드립니다.
미소야 치과는 충분한 진단과 상담 후 꼭 필요한 환자분께만 수술교정을 권유드립니다.



매복치아 교정
- 초진
- 좌측 하악 견치 완전매복되어 있었음

- 치료 중

- 치료 후
- 교정으로 맹출시킴

5. 재교정
교정치료가 끝난 후 여러가지 이유로 치아 재교정을 원하시는 환자분의 경우 최소한의 교정기간 및 장치를 활용하여 치열을 적절하게 배열하는 치료입니다.
미소야 치과에서는 주로 치아교정을 했지만 치아가 다시 틀어진 경우나, 부득이한 사정으로 인해 교정을 중단한 경우 진행하며 충분한 상담을 거쳐 치료를 합니다.
미소야 치과에서는 주로 치아교정을 했지만 치아가 다시 틀어진 경우나, 부득이한 사정으로 인해 교정을 중단한 경우 진행하며 충분한 상담을 거쳐 치료를 합니다.

6. 중/장년교정
부정교합이 있으나 교정치료 시기를 놓친 중 장년층 중에서 임플란트를 동반한 교정치료가 필요한 경우가 있습니다.
부정교합을 고치지 않고 여러 치아를 발치하여 임플란트를 식립하게 되면 불량한 교합 그대로 복구되어 불편감이 해소되지 않는 경우가 많습니다.
이런 경우 부분적 또는 전체적인 교정을 통해서 적절한 위치로 치아배열을 하고 임플란트를 심어 오랫동안 건강한 구강 환경을 유지하게 도와주는 교정치료가 필요할 수 있습니다.
부정교합을 고치지 않고 여러 치아를 발치하여 임플란트를 식립하게 되면 불량한 교합 그대로 복구되어 불편감이 해소되지 않는 경우가 많습니다.
이런 경우 부분적 또는 전체적인 교정을 통해서 적절한 위치로 치아배열을 하고 임플란트를 심어 오랫동안 건강한 구강 환경을 유지하게 도와주는 교정치료가 필요할 수 있습니다.
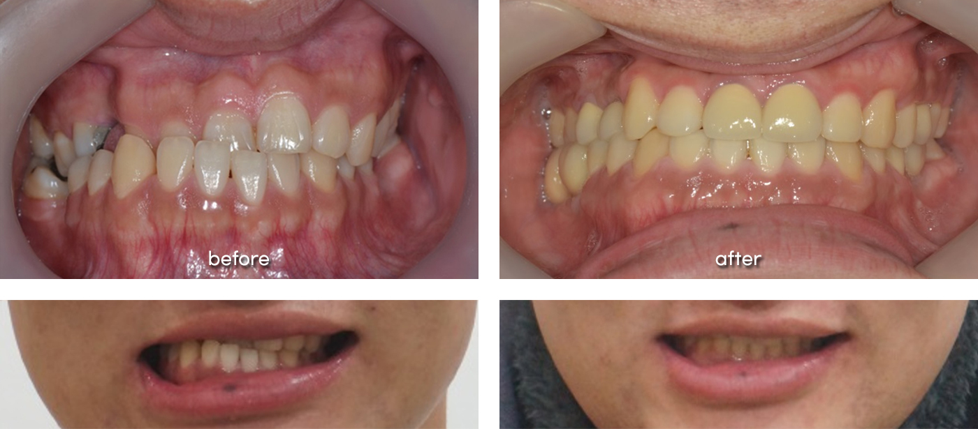
- 초진
- 장년 환자로 치주염을 동반한 치아 벌어짐과 돌출입 교정 환자

- 치료 후
- 돌출입 교정 후 안모 개선 변화 양상

- 치료 후
- 돌출입 수술 없이 교정으로 개선 후 고른 치아배열로 인한 치주염 개선된 환자 (교정 10년 후 유지중)

LOCATION
미소야치과의원
서울특별시 은평구 연서로 217(갈현동 456-2), 2층
36호선 연신내역 5번 출구에서 122m
주차장 자세히보기
진료시간
- 월ㆍ화ㆍ금오전 10:00 ~ 오후 07:00
- 수[야간]오전 10:00 ~ 오후 09:00
- 토요일오전 10:00 ~ 오후 03:00
- 점심시간오전 12:30 ~ 오후 02:00
※ 토요일은 점심시간 없이 진행합니다.
※ 목ㆍ일ㆍ공휴일은 휴진입니다.
서울대학교 대표원장 진료

